
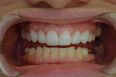
Full Mouth Reconstruction
A severely compromised smile can
make you feel discouraged and hopeless.
Fortunately, a full mouth reconstruction by Dr. Adam Osga in Brazoria, TX,
can make your smile comfortable, healthy, and attractive again.
Here's why you should consider this comprehensive treatment...

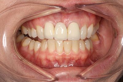
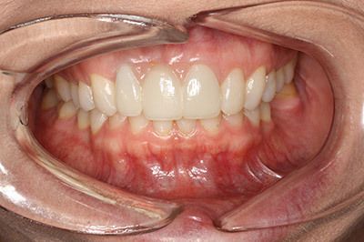
A Beautiful New Smile IS WITHIN YOUR REACH
Health
A full mouth reconstruction focuses on the foundation of your smile by resolving any bone recession, gum disease, or tooth decay. Consequently, treatment is an investment in your long-term oral health.Comfort
Your teeth will be carefully replaced or restored in a way that results in a properly balanced bite. This will minimize the risk of tooth grinding and excessive strain on your jaw joints.Appearance
Form follows function in dentistry, so you can expect that the results of your full mouth reconstruction will enhance your entire appearance. We also offer cosmetic enhancements to give your smile an especially dazzling look after the major restorative work is complete.
Dr. Osga- Smile Design Extraordinaire for Brazoria County & Lake Jackson, Tx
Osga Dental is Brazoria’s best choice for full mouth reconstruction. Their tailormade treatment plans always end in beautiful, strong, well-functioning healthy smiles. Full mouth reconstruction also referred to as full mouth rehabilitation or restoration, will mean different things for every patient considering it. A combination of restorative procedures, full mouth reconstruction describes the process of simultaneous rebuilding or restoring of teeth in the upper and lower jaws. Dr. Osga and his experienced team will work with you to determine the best procedure to comfortably achieve your desired results.
Why Full- Mouth Reconstruction?
If you have lost teeth due to decay or trauma, have teeth that have been injured or fractured teeth that over time have become severely worn, you may be a candidate for full mouth reconstruction. As the causes may vary, we find that patients of varying ages in the Brazoria and Lake Jackson area determine that full-mouth restoration is right for them. While the aesthetic benefits are often first on patients' minds when considering reconstruction, there are multiple health benefits as well. Adjustments to the bite or occlusion during treatment bring relief to patients dealing with ongoing jaw, muscle and headache pain. Properly aligned teeth also reduce the risk of oral infections, tooth decay, and gum disease. Continue reading to learn more about the processes involved in helping you achieve your perfect healthy smile.
How the Process Begins
The first step is scheduling a comprehensive examination. With an accurate understanding of your current oral health, we can proceed with treatment specific to your needs. During the exam, x-rays, photographs, and impressions of your upper and lower teeth will be recorded. Four main areas will be examined:
- Teeth: The condition of your teeth will help Dr. Osga determine which option will best help you achieve your goals. We will also make a note of any cavities and decay tooth wear, cracks, varying length in teeth, root canal issues and any tooth movement.
- Periodontal (gum) tissues: Healthy gums are an integral part of strong, healthy teeth. Dr. Osga will carefully examine your gums looking for deep pockets, excessive or insufficient gum tissue, periodontal disease, and bone density irregularities. This necessary step to improve the health of your gums and jaw bone will ensure that your newly reconstructed teeth have a solid foundation.
- Temporomandibular joints, jaw muscles and occlusion: During your examination, Dr. Osga will take a close look at the alignment of your bite, it’s also important to note if you experience any pain or discomfort when you close your mouth or chew. If there are any bite abnormalities or discomfort, it’s possible that orthodontics or some other type of bite treatment may be required before you proceed with additional restorative procedures.
Osga Dental is a patient-centered practice. A proud part of the Brazoria & Lake Jackson community, we understand the commitment it takes to choose full-mouth reconstruction. When you select Dr. Osga to assist you on your path to a beautiful, strong smile, you can be sure that our goal is the same as yours; high-tech, painless dental care with a personal touch. While each case may be different, one thing will remain the same, with Osga Dental, Brazoria & Lake Jackson, Tx can smile brighter.





